Case Carousel (March 2026) - Emphysematous pyometra torsion

History:

3 yrs 11 months old Saint Bernard, F

Severe distended abdomen. Last heat cycle was 3 weeks ago, lasted longer and was heavier than normal. Discharge has since stopped. Not eating since 1 day. Vomited 3 times since 1 day.

Findings:

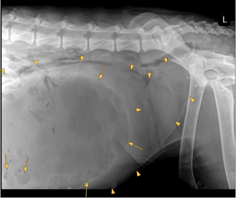
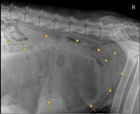
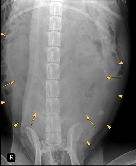
There is severe distention of the abdomen. As far as included the extra-abdominal soft tissues are within normal limits. There are 8 lumbar vertebrae, otherwise the bony structures are within normal limits.

A large well-defined, rounded soft tissue mass is noted in the caudal mid and cranial abdomen. The mass is filled with combination of fluid ( yellow arrow points) and gas (yellow arrows) and originating from the uterus.

The mass is displacing the gastrointestinal tract dorsally, cranially and laterally.

Conclusion:
Large fluid and gas-filled mass in the caudal, mid and cranial abdomen originating from the uterus (emphysematous pyometra). Considering the shape of the mass a torsion is suspected.

Explorative laparotomy:

Left uterine horn torsion with pyometra (6.6 kg).

P1
p2
p3
p4
p5
p6