🧭 Tell us a bit about your path to becoming a radiologist.
I had been in practice for 7 years, during which time I had completed the RCVS Certificate in Veterinary Radiology (thank you to Noreen Lewis and Richard Ewers, who were my mentors for this), and was in sole charge at a corporate practice. I found it very challenging being the only vet on site all the time and started going to work and crying every day. Friends asked me what role could I see myself doing and I said “having the job Ruth Dennis had when we were students at Cambridge”. It turns out that the Cambridge radiology residency had been advertised recently in the Vet Record – the only source of job notifications at that time, in print as “online” didn’t exist and I was not a member of the BVA and so hadn’t seen it. I applied and got the position which was amazing. I started in the role at the beginning of April 1998. I passed the RCVS Diploma in 2000 and ECVDI Diploma in 2001. I feel so lucky when I look at my journey, compared with the hoops all residency applicants have to go through, but, at the time, there weren’t any radiologists in private practice, just some in academia, so the residency pathway was not as popular as it is now. I shall be forever grateful to Mike Herrtage for taking a chance on me – someone who had not even done any ultrasound in practice, it sounds impossible now! It was a very steep learning curve during the residency and has been ever since. I stayed at Cambridge after my residency as Clinical Radiologist – the first holder of that position - and moved to the RVC in 2004 as part-time lecturer after the birth of my first child. In 2011, we relocated to the West Midlands to private practice.
🩻 What is your practice and work day like?
I work one day a week in clinic in a referral practice, and weekends for a teleradiology company. My work day in clinic mainly consists of trying to ensure the appropriate imaging study is performed for each patient, which can sometimes be challenging. I try to support our residents and nurse technicians and perform the odd ultrasound as required. I love it when called on to assist in interpretation of referring vets’ radiographs and offering advice on how to pursue diagnosis in each case.
I am currently also Chief Scrutineer for the BVA/KC hip and elbow dysplasia schemes, which occupies at least a day a week, either dealing with queries or complaints, or by going down to London to read the submitted screening radiographs – sometimes up to 370 in a session. The scrutineers work in pairs and it is always great to spend time with colleagues I otherwise see infrequently.
❤️🔥 Your favourite imaging modality? _(And why?)_
Easier to say my least favourite – which is MRI – but that’s my fault, rather than the modality, as my intracranial anatomy is not as good as it should be.
CT is fantastic, but, with my background in radiography, I think is kind of cheating, and sometimes clinicians are insufficiently aware of its spatial resolution limitations.
Ultrasound, with the increasing quality and refinement of high frequency transducers, is amazing – the right cranial quadrant of the cat’s abdomen is my favourite thing to scan.
I love traditional radiography, because it is what I was primarily trained on. I think sometimes newer residents can struggle with radiography, perhaps because they are used to “seeing” the answer always on CT, and so find it more difficult to accept the degree of uncertainty which is inherent in radiography.
🔮 How do you think veterinary radiology will change in 10 years?
I will not be doing so much! Seriously, I think AI will hopefully improve workflows, but I hope it does not become the first line of reading. I feel the “bubble” that is teleradiology may burst, partly because of the potential mismatch between need and radiologist number, and also the increasing salaries some are paid.
🕰️ What advice would you go back in time and give yourself when you were a resident?
Learn more neuroanatomy and don’t party too hard at conferences (sorry Paddy, oh, and Jen)! Apart from that, I am grateful for the opportunities I had and the friends I have made in this country, Europe and the US.
🎉 What do you like to do for fun?
I like singing, walking, gardening, spinning, knitting, reading and doing jigsaws (minimum 1000 pieces – I think the shape and pattern-matching suits my imaging brain – and if that makes me sound like a sad person, I have also done a triathlon).
✨ What have you always wanted to do but never done?
Play the role of Pitti-Sing in the Mikado
🧠 Favourite quote or words to live by?
Be kind
Nobody comes to work just to p*** you off
🧵 Please complete the following sentences…
I usually start my day with… a cup of tea, hopefully in bed brought by my lovely husband, then a dog walk.
The time of my residency was…fantastic, living in Cambridge, getting married and learning all things radiological.
If I had more time I would…spin all my fibre stash.
Sometimes I ask myself…where is the hippocampus?
I solve problems by…trying to put myself in other people’s positions, not assuming everyone is approaching the problem with the same lived experience.
Teaching is…something I relax into and really enjoy when you find a student, intern or resident who is engaged and wants to learn.
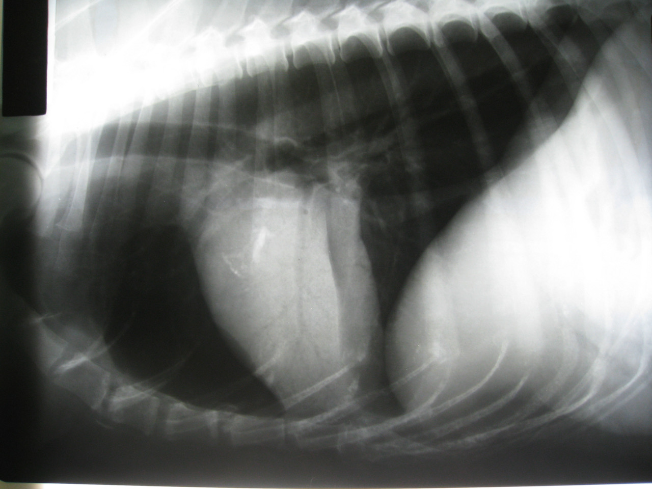
🖼️ My favourite image *(MRI, CT, US, Rads)*
Although this image is not very good quality, I love this image for the distracting heart mineralization and the way the consolidated lung overlays the heart perfectly. This image is a lesson in seeing the absence of something, rather than the presence. If you flip the image vertically, (in the old days, put in on the viewer the other way up) it demonstrates why it is called a bronchial tree.

